L’espansore palatale è il primo degli apparecchi fissi di cui vogliamo parlarvi, perché è uno tra i più utilizzati. Ma quando è necessario espandere? Come si attiva? E cosa non dovremmo mai dimenticare quando portiamo questo tipo di apparecchio?
Ecco alcuni chiarimenti a uso del paziente.
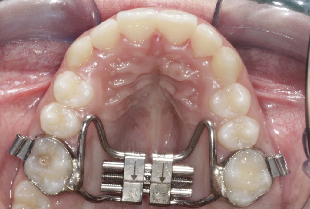
L’espansone palatale rapida (RPE) o espansione mascellare rapida (RME) consente di correggere il deficit trasversale del mascellare superiore comunemente conosciuto come “Palato stretto”. L’incremento del mascellare superiore realizza una condizione favorevole di spazio per l’eruzione dei denti, migliora l’occlusione e la masticazione.
Efficacia ed efficienza dell’espansione palatale
Il fattore “tempo” riveste un ruolo fondamentale al fine di migliorare l’efficacia e l’efficienza dell’espansione, contribuendo al risultato finale del trattamento.
Iniziare a lavorare sui pazienti in crescita, quando ancora non hanno raggiunto la fase di maturità scheletrica, permette all’ortodontista di modificare la condizione occlusale dei bambini, migliorando la posizione delle loro ossa e dei loro denti. Per questo motivo, l’espansione deve essere effettuata in epoca precoce.
L’espansore è un apparecchio fisso che si appoggia sui denti posteriori e ha una vite al centro che deve essere girata dai genitori, con un’apposita “chiavetta”, ogni giorno in casa. L’ortodontista consegna lo schema di attivazione più appropriato, avendo cura di valutare l’avvenuta espansione nei controlli successivi.
Durante la fase attiva, il paziente viene controllato dall’ortodontista ogni 7-14 giorni. Generalmente l’attivazione dura poche settimane, mentre l’espansore sarà mantenuto per almeno 6 mesi.
Applicazione e attivazione dell’espansore palatale
Il momento giusto per iniziare il trattamento gioca un ruolo fondamentale nell’espansione rapida palatale, poiché condiziona la risposta clinica. Possono essere necessari alcuni giorni per abituarsi all’espansore e, alcun bambini, riferiscono anche qualche fastidio nei giorni successivi all’applicazione dell’apparecchio o alla sua attivazione. La sensazione è quella di un “senso di pressione” alla radice del naso, oppure nella zona degli incisivi superiori. Dopo alcuni giorni si potrà notare la comparsa di uno spazio tra gli incisivi, che poi si chiuderà spontaneamente.
Non dimentichiamoci, infine, che la pulizia dell’apparecchio deve essere effettuata regolarmente e scrupolosamente, al fine di supportare al meglio la terapia.
Scopri le regole ortodontiche di igiene e cura dei denti se vuoi saperne di più sull’argomento!
