
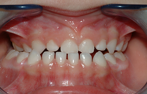
Una “inversione di chiusura” laterale (i denti di sotto sono sporgenti da un lato) nei bambini con i denti da latte è spesso conseguenza di interferenze occlusali che lo costringono a chiudere da un solo lato per stare più comodo. Ma in questa condizione la masticazione funziona male!
Hai dubbi o domande specifiche sull’ortodonzia e sui tipi di terapie ortodontiche oppure hai bisogno di richiedere il parere di un ortodontista rispetto alla tua situazione specifica?
Compila il form descrivendo in dettaglio le motivazioni della tua richiesta di consulto: uno dei nostri dottori ti risponderà al più presto per fornirti una consulenza personalizzata.