
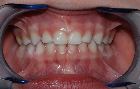
Questa è una buona occlusione. I denti da latte presentano caratteristiche proprie che li differenziano dai denti definitivi. Anche l’occlusione ha le sue caratteristiche ben definite già quando i bambini hanno i denti da latte. In una occlusione corretta l’arcata inferiore e quella superiore possono essere paragonate ad una scatola con il proprio coperchio: l’arcata superiore chiude “a coperchio di scatola” su quella inferiore .
Hai dubbi o domande specifiche sull’ortodonzia e sui tipi di terapie ortodontiche oppure hai bisogno di richiedere il parere di un ortodontista rispetto alla tua situazione specifica?
Compila il form descrivendo in dettaglio le motivazioni della tua richiesta di consulto: uno dei nostri dottori ti risponderà al più presto per fornirti una consulenza personalizzata.