Com'è il tuo sorriso?

È importante tenere sotto controllo il proprio sorriso! Controlla il tuo sorriso

Com’è il tuo sorriso? Individua tra le immagini quella che si avvicina di più al tuo sorriso e scopri qual è la tua classe di occlusione e la terapia ortodontica più indicata alle tue esigenze. L’ortodonzia in età adulta è ormai una pratica diffusa e in grado di garantire ottimi risultati: non è mai tardi per intraprendere una corretta cura ortodontica e migliorare la salute del proprio sorriso!

https://sorridibene.etweb.it/wp-content/uploads/2020/07/1.jpg

Morso aperto anteriore

Quando i denti superiori non incontrano i denti inferiori sarà complicato mordere, deglutire, ma anche pronunciare corrett...
https://sorridibene.etweb.it/wp-content/uploads/2020/07/2-1.jpg

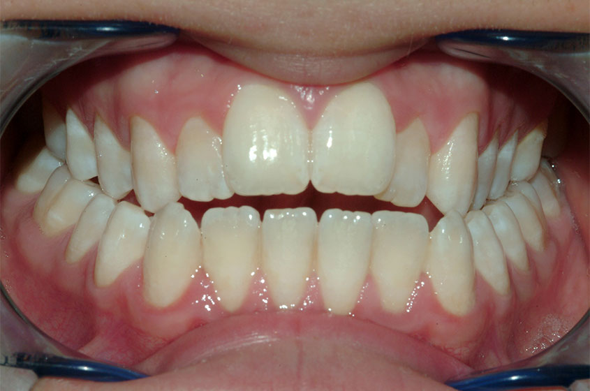
Buona occlusione

Questa è una buona occlusione! In una occlusione ottimale, ogni dente occlude con l’antagonista e con il dente adiacent...
https://sorridibene.etweb.it/wp-content/uploads/2020/07/3-1.jpg

Affollamento dentale

In una occlusione normale ogni dente occupa uno spazio ben preciso in arcata. Se i denti non sono correttamente allineati e...
https://sorridibene.etweb.it/wp-content/uploads/2020/07/4-1.jpg

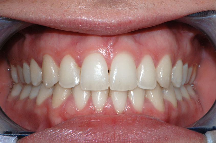
Inversione del morso posteriore

Se i denti dell’arcata superiore non chiudono correttamente e lateralmente e i denti inferiori sono più evidenti e sporg...
https://sorridibene.etweb.it/wp-content/uploads/2020/07/5-2.jpg

Inversione anteriore di un dente

Anche quando un solo dente non chiude correttamente, costringe tutta l’occlusione a spostarsi in una posizione sbagliata....
https://sorridibene.etweb.it/wp-content/uploads/2020/07/6-1.jpg

Morso profondo

Quando i denti dell’arcata superiore coprono eccessivamente gli inferiori si determina un “morso profondo”. In quest...

Iscriviti alla newsletter

Resta aggiornato sugli ultimi approfondimenti. Ogni mese tratteremo una tematica di interesse per fornirti gli strumenti di valutazione e le linee guida per saper scegliere con consapevolezza ortodontisti e terapie.

    https://sorridibene.etweb.it/wp-content/uploads/2017/04/logo-sorridibene@1x.png

    Sorridibene è il portale informativo sull’ortodonzia offerto dalla società italiana degli ortodontisti S.I.D.O.

    Seguici sui Social Network per leggere i nostri consigli dedicati a te!

    Chiedi all'ortodontista

      © 2017 SIDO – Tutti i diritti riservati –   P.Iva: 09912490159 – Privacy PolicyCookie Policy