Dopo le cure ortorontiche, per mantenere stabili i risultati ottenuti può essere necessaria la contenzione, tecniche per consolidare la bellezza del sorriso.
Dopo le cure ortorontiche, per mantenere stabili i risultati ottenuti può essere necessaria la contenzione, tecniche per consolidare la bellezza del sorriso.
Sono poco visibili, pratici e funzionali: ecco i motivi che inducono sempre più adulti a scegliere gli allineatori.
Grazie a questa disciplina ortodontica, è possibile correggere i denti disallineati mediante un apparecchio fisso invisibile, applicato sulla faccia interna (linguale) dei denti. Tale apparecchio lavora esattamente come quello fisso tradizionale che si incolla sulla faccia esterna de denti
Come abbiamo visto nell’articolo precedente, l’espansore palatale è il primo degli apparecchi fissi su cui intendiamo dare indicazioni e approfondimenti perché è tra i più utilizzati. Ora sappiamo quali sono le principali differenze tra apparecchi fissi e mobili, siamo consapevoli di quali siano le cattive abitudini della crescita che influiscono sulle alterazioni scheletrico-dentali e abbiamo...
La TEO, cioè la trazione extra-orale, è una tipologia di apparecchio ortodontico che aiuta la correzione di alcune malocclusioni. Vediamo quali. La trazione extra-orale è una tecnica grazie alla quale si risolvono alcune problematiche di malocclusione (chiusura errata delle arcate dentarie) senza ricorrere all’estrazione di denti. La struttura di questo apparecchio è pensata per far...
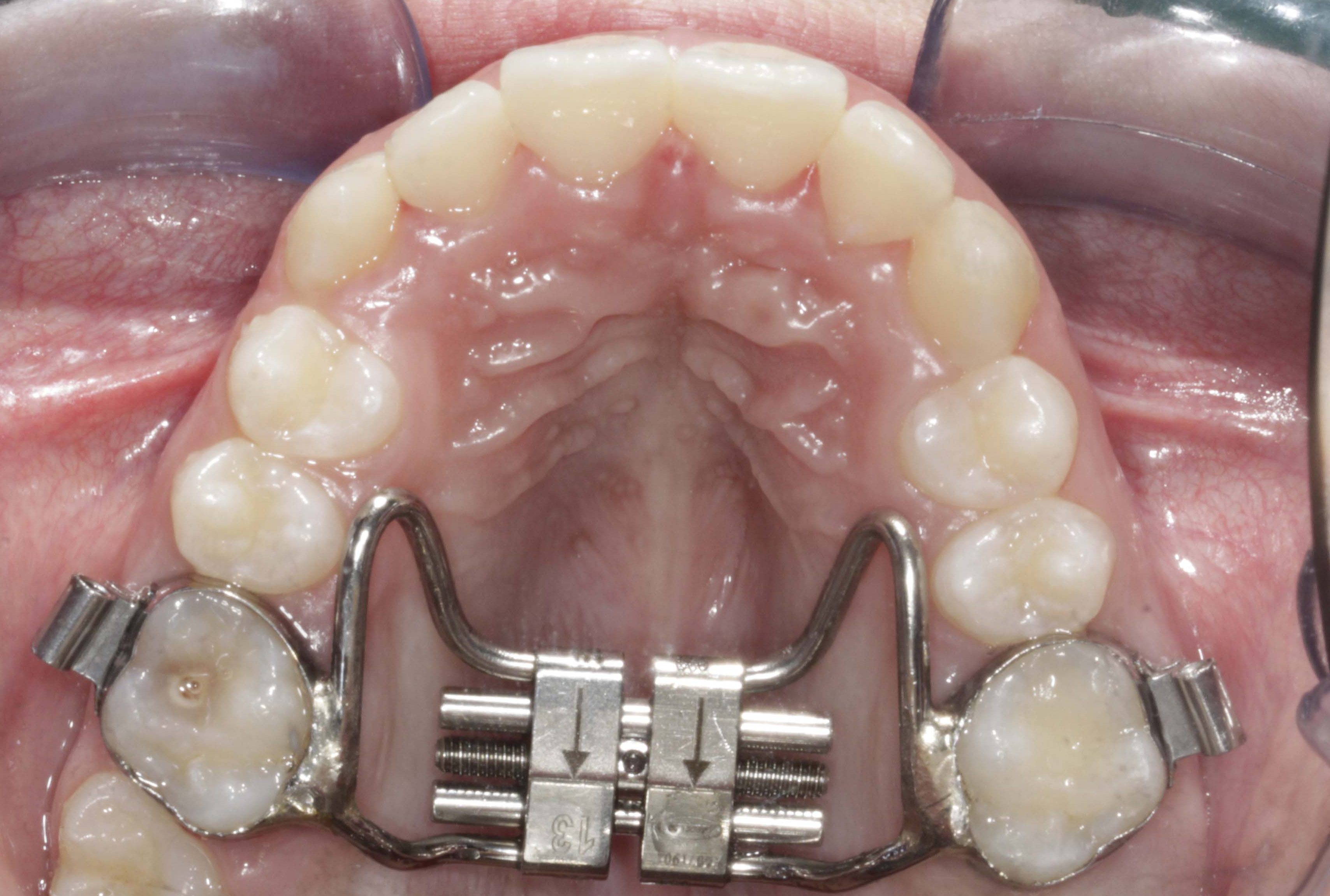
L’espansore palatale è il primo degli apparecchi fissi di cui vogliamo parlarvi, perché è uno tra i più utilizzati. Ma quando è necessario espandere? Come si attiva? E cosa non dovremmo mai dimenticare quando portiamo questo tipo di apparecchio? Ecco alcuni chiarimenti a uso del paziente. L’espansone palatale rapida (RPE) o espansione mascellare rapida (RME)...
Ci sono vari tipi di apparecchi ortodontici, cioè apparecchi per allineare i denti, e ognuno è adatto alle esigenze specifiche del paziente. Vista la confusione, vista la pubblicità, visto internet, con questo articolo ci sentiamo di lanciare subito un primo messaggio importante: non tutto va bene per tutto! Lo scopo di questo argomento vuole essere...